AI Lymphoma Detection

Faster, confident diagnostics means our patients get faster access to life saving treatments.

Access Webinar
Pathview AI Lymphoma Cytology | Moichor
AVAILABLE NOW!

Fast, objective lymphoma detection powered by AI

Pathview brings rapid, AI-powered cytological assessment directly to your clinic for confident large cell lymphoma diagnosis in dogs and cats

AI Lymphoma Cytology
96%

Detection accuracy in current validation

24/7

Availability for rapid diagnosis

1000s

Cells analyzed per sample

Built for modern veterinary practice

We're bringing specialist-level analysis directly to your clinic with AI-powered technology that enhances efficiency and confidence

Lymphoma cytology analysis

Rapid turnaround

Get results while your patient is still in the clinic. Make immediate treatment decisions without waiting days for specialist review.

Pathologist confirmation

Every result is reviewed by our board-certified veterinary clinical pathologists for complete diagnostic confidence.

Thorough analysis

The AI analyzes thousands of cells across multiple high-powered fields—far more than manual counting allows.

Consistent quality

Standardized assessment reduces inter-observer variability. Get the same reliable results regardless of when you submit.

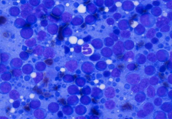
Large cell lymphoma cytology

How the AI pipeline works

Our three-stage AI pipeline mimics the workflow of an experienced clinical pathologist

1

Assessment

The AI scans the entire slide to identify diagnostic quality regions with optimal cell distribution and staining. Poor quality areas are automatically filtered out to ensure reliable analysis.

2

Classification

In high-quality regions, the AI meticulously detects and catalogs every relevant cell—small and large lymphocytes, lysed cells, other white blood cells, and mitotic figures.

3

Analysis

The system analyzes cell populations, calculating total cell counts, large-to-small lymphocyte percentages, and intact-to-lysed cell ratios to generate a clear diagnostic classification.

Validated accuracy you can trust

96%

Current detection accuracy for large cell lymphoma

Trained on thousands of manually labeled cells from diverse cases, our AI demonstrates excellent agreement with board-certified veterinary clinical pathologists.

How we measure accuracy: The AI's cell classifications are compared against manual labels from our pathology team across multiple validation datasets. The system correctly identifies large cell lymphoma in 96% of cases, with ongoing improvements as we expand our training data.

AI-enhanced vs. traditional cytology

Traditional approach

Cytology alone

  • Subjective cell population estimates
  • Inter-observer variability in interpretation
  • Limited cell counting in practice
  • Requires specialist review for confidence
  • Turnaround time: days to weeks
Pathview AI

AI-powered assessment

  • Objective, quantitative cell counts
  • Standardized, reproducible results
  • Thousands of cells analyzed per sample
  • Pathologist confirmation included
  • Turnaround time: same day, often within hours

Test specifications

Everything you need to know about submitting samples and interpreting results

Species
Dogs and cats

Validated for both canine and feline lymph node aspirates

Sample type
Lymph node aspirate

Single slide submission with standard staining

Detection focus
Large cell lymphoma

Optimized for high-grade lymphomas with large immature lymphocytes

Result format
Clear classification

"Images consistent with large cell lymphoma" or "Images not consistent with large cell lymphoma"

Important note: This test is designed specifically for large cell lymphoma detection. Small to intermediate cell lymphomas are challenging to diagnose via cytology alone and typically require additional testing such as histopathology, PCR for antigen receptor rearrangement (PARR), or flow cytometry.

Ready to enhance your lymphoma diagnostics?

We're here to support your clinic's diagnostic needs every step of the way. Get started with Pathview AI Lymphoma Cytology or schedule a demo to see it in action.

Contact Us